Severs Disease (Calcaneal Apophysitis)
We can help you with all your children’s lower limb complaints, including Heel pain from Severs Disease.
What is Severs disease?
Severs disease is also called calcaneal apophysitis, which as the name suggests is inflammation of the calcaneal apophysis (growth plate).
This problem usually affects young adolescents who complain of pain at the back of the heel. The pain is more common after exercise and can last for hours or days after. The pain can happen in one leg or both legs.

Severs Disease typically occurs during the growth spurt of adolescence. The time at which the growth spurt occurs differs and can happen between the ages of:
8 to 13 for girls and 10 to 15 for boys.
Causes of Severs Disease
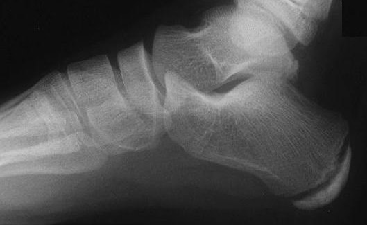
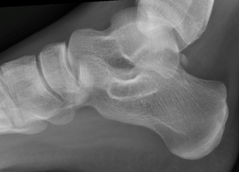
Unlike an adult heel bone the heel bone in a child is in two parts connect by a cartilage growth plate (see picture below).


Xray of a Child's Foot


Xray of a Adults Foot
The heel’s growth plate is sensitive to repeated running and pounding on hard surfaces. For this reason, children and adolescents involved in soccer or basketball are especially vulnerable.
Other potential causes of calcaneal apophysitis may include a tight Achilles tendon, and biomechanical problems such as flatfoot or a high-arched foot.
Diagnosis of Severs Disease
Diagnosis is generally made with specific signs and symptoms – when the pain occurs and the location.
Most children with this problem will have a ‘positive apophyseal squeeze test’ (pain when squeezing the heel).
Ultrasound Imaging is also beneficial when diagnosing Severs disease. Ultrasound images of the apophysis are usually fragmented with increased vascularisation.

(Fragmentation of the calcaneal apophysis as seen on ultrasound)
Treatment of Severs Disease
In the majority of cases severs disease is self limiting, which means it will go away regardless on what you do once the growth plate has fully formed. The main goal of treatment is to minimise the pain associated with this problem. This can include:
Activity reduction
Heel raises to reduce the tension in the Achilles
Gel Heels
Supportive footwear
Stretching
Taping
Night Splinting
What else could it be? (differential diagnosis)

Book Your Podiatry Appointment Online
The Ankle, Foot and Orthotic Centre’s Northcote Podiatrists can help you with all your children's lower limb complaints, including Heel pain from Severs Disease. Make an appointment to get your foot and ankle pain under control.
Professional, experienced Podiatrists for the treatment of children’s feet servicing the areas of Northcote, Thornbury, Fitzroy, North Fitzroy, Carlton, North Carlton, Alphington, Fairfield, Brunswick, Coburg and Preston.
Call The Ankle, Foot and Orthotic Centre for further advice on professional management and treatment options.