Heel Spurs

Professional management and treatment options for heel spurs

What are Heel spurs?

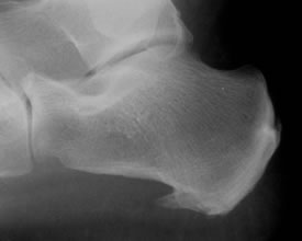
The plantar calcaneal (Heel) spur has been described as a bone outgrowth just in front of the medial tuberosity of the calcaneus.

These heel spurs are often seen on ultrasound or xray and are sometimes blamed for heel pain.

Heel Spurs Northcote
Heel Spurs Treatment Northcote

Are Heel Spurs the Cause of My Heel Pain?

Short answer: No

Long Answer:

This issue is very controversial with no definitive agreement that a heel spur causes damage or trauma to the surrounding tissues.

Historically, it has been commonly accepted that heel spur formation is an abnormal finding and very closely correlated with the symptoms of heel pain.
In the past it was reported that excessive traction (pulling) of the plantar fascia on its attachment at the heel resulted in chronic inflammation, which in turn resulted in a reactive ossification and subsequent extra bone forming in the shape of a ‘spur’.

This is perhaps why heel spurs and ‘plantar fasciitis’ are still to this day thought by many to be one entity. Does the traction and inflammation cause a heel spur, or does a heel spur cause tissue inflammation?.

It is not uncommon to see statements that ‘plantar fasciitis’ is caused by heel spurs (admittedly this is on websites rather than academic journals), but is this correct?

To investigate this it is important to look at the literature investigating heel spurs.

How common are heel spurs?

Studies have shown that heel spurs are more common in pain free individuals than first thought, and it has been reported that anywhere between 11 and 27% of the population have radiographic evidence of a spur.5,8-13

Clearly this suggests they are not always associated with symptoms, and are not necessarily considered as ‘abnormal’ as once thought. Interestingly, even a study performed over 50 years ago on 323 patients concluded that the plantar calcaneal spur was never the cause of pain and probably a normal manifestation of the ageing process.14 However, the research does suggest that calcaneal spurs do seem to be over-represented in certain groups, such as females10,11,13 , individuals with osteoarthritis15,16 and older people.11,13,15,16 Calcaneal spurs have also found to be more common in those who are overweight.17

About heel spurs?

It has long been thought that heel spurs, plantar fascia problems and heel pain were linked. It was thought the spur was a result of increased traction of the plantar fascia which resulted in the formation of the spur.Anatomic studies contradict this and report that the spur is found above the plantar fascia.4,12,18 Some found it was much more commonly located in the other intrinsic musculature, (namely Flexor Digitorum Brevis and Abductor Digiti Minimi)4,18,19 and one study concluded that spurs do not develop within the plantar fascia.20 What is clear is that there is huge variability in the location of heel spur formation and  its link to plantar fasciitis is not credible.

Northcote Heel Spurs Treatment
Northcote Heel Spurs

What causes heel spurs?

The traditional theory for formation of plantar calcaneal spurs referred to as the longitudinal traction hypothesis, i.e. the plantar fascia pulling on the heel bone and causing the formation of a spur. Despite the anatomical studies showed that the spur is far from consistently found in the fascia, it has been suggested that there could be an element of tensile force exerted on the calcaneus from a variety of the other structures which attach to it.4,19An alternative theory, termed the vertical compression hypothesis16 and was proposed by Kumai and Benjamin in 2002.20 This theory suggests that calcaneal spurs are outgrowths which form in response to repetitive vertical stress in an attempt to protect against microfractures.  This idea is supported by histological studies which show that the bony trabeculae are NOT aligned in the direction of soft tissue traction.16,18 Li and Muehleman18 found that the direction of the trabeculae suggested that the force causing the pathological response was consistent with the external ground reaction force vector.

 

So what does all this mean in plain English?

It means that we used to think a spur was caused by the plantar fascia pulling on the bone. This is highly unlikely as the spur is not found in the plantar fascia.

If traction is the cause it is more likely to be caused by other musculature such as Flexor Digitorum Brevis or Abductor Digiti Minimi. However these bony protrusions could instead be caused by the repetitive vertical loading (the heel continuously hitting the floor, and the floor of course hitting it back) with the spur forming as a protective mechanism.

We also know that anywhere up to a quarter of the population may have a heel spur, but this will not always be problematic.

What is causing my Heel Pain if not Heel Spurs?

It is chronic degeneration of the plantar fascia which has been called Plantar Fasciitis or Plantar Fasciiosis.

References

  1. DuVries, H.L. (1957). Heel spur (calcaneal spur). Archives of Surgery74: 536-542.
  2. Furey, J.G. (1975). Plantar fasciitis: the painful heel syndrome. Journal of Bone and Joint Surgery Am57: 672-673.
  3. Bergmann, J.N. (1990). History and mechanical control of heel spur pain. Clinics in Podiatric Medicine and Surgery7: 243-259.
  4. Abreu, M.R., Chung, C.B., Mendes, L. et al. (2003). Plantar calcaneal enthesophytes: new observations regarding sites of origin based on radiographic, MR imaging, anatomic, and paleopathologic analysis. Skeletal Radiology32: 13-21.
  5. Prichasuk, S., Subhadrabandhu, T. (1994). The relationship of pes planus and calcaneal spur to plantar heel pain. Clinical Orthopaedics and Related Research306: 192-196.
  6. Irving, D.B., Cook, J.L., Young, M.A. et el. (2007). Obesity and pronated foot type may increase the risk of chronic plantar heel pain: a matched case-control study. BMC Musculoskeletal Disorders8: 41.
  7. Kogler, G.F., Solomonidis, S.E., Paul, J.P. (1996). Biomechanics of longitudinal arch support mechanisms in foot orthoses and their effect on plantar aponeurosis strain. Clinical Biomechanics11: 243-252.
  8. Rubin, G., Witten, M. (1963). Plantar calcaneal spurs. American Journal of Orthopaedics5: 38-41.
  9. McCarthy, D.J., Gorecki, G.E. (1979). Anatomical basis of inferior calcaneal lesions: a cryomicrotomy study. Journal of the American Podiatric Medical Association69: 527-536.
  10. Shama, S.S., Kominsky, S.J., Lemont, H. (1983). Prevalence of non-painful heel spur and its relation to postural foot position. Journal of the American Podiatric Medical Association, 73: 122-123.
  11. Banadda, B.M., Gona, O., Vas, R., et al. (1992). Calcaneal spurs in a black African population. Foot & Ankle13: 352-354.
  12. Barrett, S.L., Day, S.V., Pignetti, T.T. et al. (1995). Endoscopic heel anatomy: analysis of 200 fresh frozen specimens. Journal of Foot & Ankle Surgery34: 51-56.
  13. Riepert, T., Drechsler, T., Schild, H. et al. (1996). Estimation of sex on the basis of radiographs of the calcaneus. Forensic Science International77: 133-140.
  14. Lapidus, P.W., Guidotti, F.P. (1965). Painful heel: report of 323 patients with 364 painful heels. Clinical Orthopaedics and related Research, 39: 178-186.
  15. Gerster, J.C., Vischer, T.L., Bennani, A. et al. (1977). The painful heel. Comparative study in rheumatoid arthritis, ankylosing spondylitis, Reiter’s syndrome, and generalised osteoarthritis. Annals of the Rheumatic Diseases36: 343-348.
  16. Menz, H.B., Zammit, G.V., Landorf, K.B. et al. (2008). Plantar calcaneal spurs in older people: longitudinal traction or vertical compression? Journal of Foot & Ankle Research1:7.
  17. Sadat-Ali, M. (1998). Plantar fasciitis/calcaneal spur among security forces personnel. Military Medicine163: 56-57.
  18. Li, J., Muehleman, C. (2007). Anatomic Relationship of Heel Spur to Surrounding Soft Tissues: Greater variability than previously reported. Clinical Anatomy20: 950-955.
  19. Smith, S., Tinley, P., Gilheany, M. et al. (2007). The inferior calcaneal spur – Anatomical and histological considerations. The Foot17: 25-31.
  20. Kumai, T., Benjamin, M. (2002). Heel spur formation and the subcalcaneal enthesis of the plantar fascia. The Journal of Rheumatology29: 1957-1964.
wave

Book an Appointment

Call The Foot and Ankle Centre for further advice on professional management and treatment options.

Make an appointment to get your foot and ankle pain under control.

Scroll to Top
Book Online Call Now