Foot and Ankle Arthritis
Understanding, Diagnosing & Treating Joint Pain in the Lower Limb
Arthritis in the foot and ankle can lead to pain, stiffness, and loss of mobility — impacting your ability to walk, work, or enjoy everyday life. At The Ankle Foot and Orthotic Centre, we provide tailored, evidence-based care for all forms of foot and ankle arthritis, including midfoot arthritis.


What Is Arthritis?
Osteoarthritis
Age-related “wear and tear” arthritis
Rheumatoid Arthritis
An autoimmune condition that attacks joint linings
Post-Traumatic Arthritis
Develops after injuries such as fractures or dislocations
Midfoot Arthritis
The midfoot refers to the central arch area of your foot, made up of several small joints that provide stability and transfer forces during walking. Arthritis in this region, particularly in the tarsometatarsal joints, is common and often overlooked.
Causes of Midfoot Arthritis
Osteoarthritis
From natural wear over time
Previous trauma
Including sprains or fractures
Flatfoot deformity
Which places increased stress on midfoot joints
Inflammatory arthritis
Like rheumatoid arthritis
Symptoms
Persistent aching or throbbing in the arch or top of the foot
Pain during walking or when pushing off the toes
Bony lumps or swelling over the midfoot
Stiffness, especially in the morning or after rest
Difficulty wearing shoes or standing for long periods
Diagnosis
We use a thorough clinical examination combined with imaging — including X-rays, ultrasound, or MRI — to accurately assess the joints involved and determine the best course of action.
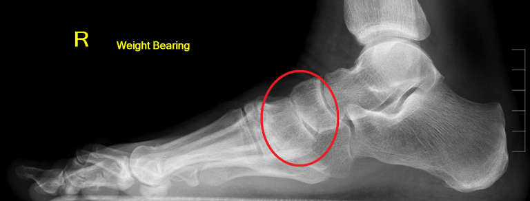
Midfoot arthritis is where there is a reduction in one or many of joint spaces within the midfoot.

Moderate arthritis of the joint of the navicular and medial cuneiform

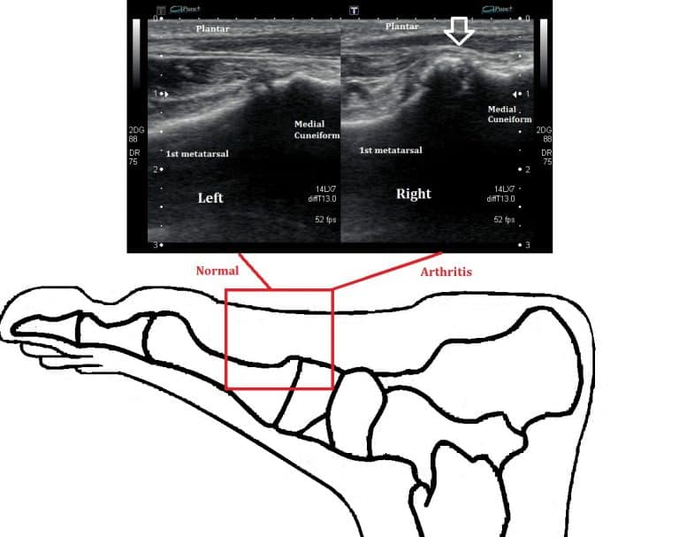
Normal left foot
At the Ankle, Foot and Orthotic Centre we are able to provide additional information about the presence of midfoot arthritis with ultrasound imaging. Typically there will be sclerosis of the midfoot joints and a loss of articular cartilage.


Treatment Options
Non-Surgical Management
- Custom orthotics to support the arch and offload painful joints
- Stiff-soled footwear or rocker-bottom shoes to limit joint movement
- Anti-inflammatory medications or supplements
- Footwear advice to improve comfort and reduce flare-ups
- Cortisone injections for pain and inflammation control
- Physical therapy for strength, mobility, and joint support
Surgical Options
If symptoms persist despite conservative treatment, surgical interventions may include:
- Joint fusion (arthrodesis) to stabilise painful joints, especially in midfoot arthritis
- Debridement to clean out damaged tissue
- Joint replacement (less common in the midfoot, but considered in some cases)

Living with Foot and Ankle Arthritis
At The Ankle Foot and Orthotic Centre our goal is to help you manage your arthritis with minimal disruption to your life.
Whether your pain is in the midfoot, ankle, or elsewhere, we’ll work with you to develop a treatment plan that improves comfort, function, and long-term joint health.
Take the first step toward relief. Book an appointment with our experienced podiatry team today and start moving with confidence again.