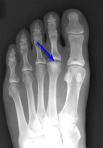
Freiberg’s Infraction (Avascular Necrosis of the 2nd Metatarsal)

Foot bone Xray freiberg

What is Avascular Necrosis

Avascular necrosis is the death of bone tissue as a result of disruption to the blood supply in the bone.

Avascular necrosis is most commonly seen in the navicular bone, talus and also the second metatarsal.


What is Freiberg’s Disease

Freibergs disease or avascular necrosis of the metatarsal head is a rare, painful bone disorder. It is most commonly seen in adolescence between 12 and 18 years of age.

Xray-freiberg


Causes of Freibergs Infraction

There is no known cause of Freibergs Infraction, it is thought that trauma may initiate the problem.


Diagnosis of Freibergs Infraction

There can be pain, swelling, redness or warmth on the top of the foot. The diagnosis is confirmed by x-ray and a complete examination at the Foot and Ankle Centre of Victoria.

Classification-of-Freiberg Symptoms can last for a few days or may persist for up to two years.


Treatment of Freibergs Infraction

Freibergs  infraction  usually resolves within a year and the metatarsal head regains its size, density and structure.

Treatment is designed to reduce the pain this can be in the form of.

  • Orthotics
  • More supportive shoes
  • Stiff shoes
  • Cast immobilisation if pain is severe

Only in certain circumstances is surgery is not indicated in the treatment of Freibergs disease.


What else could it be? (differential diagnosis)

Other problems that can cause similar pain to Freibergs disease include:

Mortons Neuroma

Plantar Plate Pathology

Gout

Adventitial Bursa

Intermetatarsal Bursiitis


The Ankle and Foot Centre’s Northcote Podiatrists can help you with all lower limb complaints, including Freibergs. Make an appointment to get your foot and ankle pain under control.

Related Posts

Share Post

wave

Get Back on Your Feet

With the help of the fully qualified team of Podiatrists and Orthotists at the Ankle, Foot, and Orthotic Centre

Visit Northcote’s friendly podiatrist. Contact us today.

Scroll to Top
Book Online Call Now